Skip to product information

Active Acne Controlling

Active Acne Laser Treatment

Fotona offers a laser acne treatment protocol that provides a truly comprehensive solution to the problem of acne. Fast results, Without Side-Effects

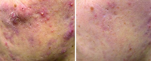
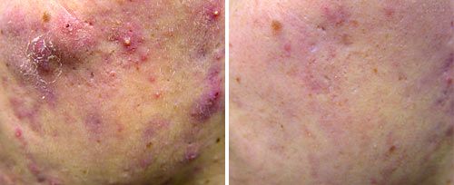
For active acne

Fotona’s laser treatment reduces acne inflammation through photo selective absorption and controlled heating effects. Fotona’s high powered  laser safely penetrates the skin to an optimal treatment depth to thermally and selectively destroy overactive sebaceous glands.

In addition to its thermal penetration effects, the acne laser treatment also accelerates the healing process and stimulates collagen re-modeling, an important step in the long-term treatment of acne.

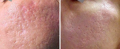
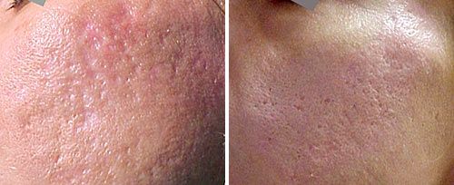
Gentle & Effective Acne Scar Revision

For treating problematic acne scars, unlike chemical peels and dermabrasion, laser skin resurfacing allows the penetration depth to be precisely controlled. The laser gently vaporizes micron-thin layers of the acne-scarred surface to reveal healthy, undamaged skin below. Laser resurfacing is a fast, safe and simple procedure.

Organic Ingredients
Refresh & Revive
Self-Care Essentials
Nourish Your Skin
<em>Certified Fotona Device Holder</em>

Certified Fotona Device Holder

We are an authorized clinic by Fotona.
Fotona’s SP Dynamis laser system is designed to perform all major aesthetic treatments.

Fotona Machine Certification
<em>Choose ROSA</em>

Choose ROSA

Olivia, a licensed Registered Practical Nurse in Ontario, Canada, embarked on her journey in aesthetic nursing after completing her nursing education in 2015. Since 2016, she has passionately dedicated herself to enhancing the natural beauty of her clients.

With an impressive record of over 1000 filler injections, Olivia has refined her skills to prioritize patient safety and satisfaction. Her commitment to excellence extends to her role as a trainer for Galderma, specializing in Restylane fillers, Dysport-tox, and Sculptra. Olivia’s dedication to maintaining high industry standards shines through her field training.

BOOK APPOINTMENT